Micro-CT imaging is used to assess trabecular and cortical bone morphology, allowing researchers to measure bone microarchitecture without relying on stereologic models. Researchers can non-destructively acquire the three-dimensional architecture of bone from any site within a small animal. The sample remains intact, allowing researchers to follow up with genetic and histological analysis. This scan was performed on our Bruker SkyScan 1273 because the system can accommodate large samples, such as this chicken.
X-Ray Microscopy Imaging of a Chicken
For our article this month, we imaged a grocery store chicken using the SkyScan 1273 desktop micro-CT. As can be seen from the view in Figure 1 above, the large sample volume of the SkyScan 1273 allowed us to image the whole sample intact. With the versatility of the SkyScan 1273, we first imaged the entire chicken at a voxel size of 200um as a quick, overview scan of the sample. We then went back and imaged just the chicken neck, which was removed during processing of the chicken, using a higher resolution with a 25um voxel size. All our SkyScan instruments allow for lower resolution imaging to be done quickly for general overview imaging by binning the pixel detectors. Each also maintains the ability to complete imaging at high resolutions.

Figure 2: Planar views of reconstructed data from the whole chicken sample
As shown in Figure 2, the SkyScan 1273 was able to quickly provide a general overview of the bone location and condition within the chicken. Without the addition of a contrast agent, all soft tissue appears similar, though some regions of higher fat concentration can be observed based on the differences in X-ray attenuation through fat and through soft tissue. Because fat contains less water and is lower density than soft tissue, these regions appear darker in our final reconstructed images since the fat regions attenuate a lower percentage of X-rays than the soft tissue or bones. The large sample size and high density arising from both bone and several inches of soft tissue required the use of all 39W of power available on the high-energy SkyScan 1273 to produce these clean images.


Figure 3: Clipped volumetric renderings of chicken, showing bones within the soft tissue sample
The overview scan data was acquired through three sequential scans along the spine of the chicken to capture the full volume. This imaging mode is known as oversize imaging and allows the SkyScan instrument to capture high aspect ratio samples at a better resolution by imaging the sample in overlapping segments and then digitally stitching together the segments to produce one final full-length dataset (Figure 3). CTVox allows us to visualize this dataset and apply color to different regions, as in the sepia color applied to the soft tissue in this illustration.

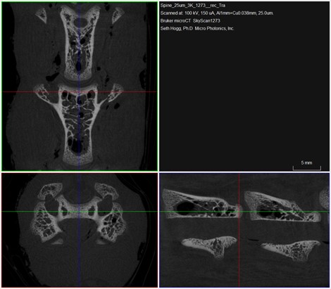
Figure 4: Planar views of individual vertebrae from the excised chicken neck sample
While the large overview scan is impressive, the SkyScan 1273 is still capable of high-resolution imaging, as shown with the results obtained on the vertebrae from the neck of the chicken (Figure 4).

Figure 5: Clipped volumetric rendering of chicken vertebrae showing fine trabecular bone structures
A closer inspection within the vertebrae reveals the fine trabecular structure within the bones, as shown in Figure 5.
Conclusion
The SkyScan 1273 allowed us to non-destructively image a full chicken, as well as capture high resolution images of the neck vertebrae. This comparison highlights the versatility of the SkyScan 1273 from accommodating large, dense samples to capturing fine details in smaller samples. We hope you found this Image of the Month informative and encourage you to subscribe to our newsletter and social media channels in preparation for the continuation of our image of the month series next month.
Scan Specifications
| Sample | Whole Chicken | Chicken Vertebrae |
| Voltage (kV) | 130 | 100 |
| Current (µA) | 300 | 150 |
| Pixel Size (µm) | 200 | 25 |
| Rotation Step | 0.6 | 0.2 |
| Scan Time (HH:MM:SS) | 02:41:45 | 00:54:14 |
These scans were completed on our desktop SkyScan 1273 system at the Micro Photonics Imaging Laboratory in Allentown, PA. Reconstructions were completed using NRecon and visualization of 2D and 3D results were completed using Dataviewer, CTVox, and CTAn.
Would you like your work to be featured in our monthly newsletter? If so, please contact us by calling Seth Hogg at 610-366-7103 or e-mailing seth.hogg@microphotonics.com.